L’agénésie dentaire
Articles similaires
L'hygiène en orthodontie
Vidéos 3D
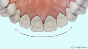
Contention de Hawley
Vidéos 3D
- Actualités (5)
- Coûts et prise en charge (1)
- Incidents et urgences orthodontiques (2)
- Informations générales dentaires (46)
- L'orthodontie de l'adulte (9)
- La réussite d'un traitement (10)
- Les enfants & les adolescents (22)
- Nos publications (36)
- Orthodontie (122)
- Qu'est-ce que l'orthodontie ? (30)
- Questions fréquentes en orthodontie (6)